Sodbrennen? Als mögliche Ursache fällt zuerst meist ein Überschuss an Magensäure ein. Doch das ist nicht immer der Fall. Zwar beheben Magensäurehemmer Sodbrennen kurzfristig und sofort, werden sie aber zu lange eingenommen, erleichtern sie verschiedenen Keimen den...
Blog
⇐ zurück zur ÜBERSICHT
Kategorie
Darm und Verdauung
Wie funktioniert Verdauung und wie lässt sie sich verbessern?
Die Aufnahme von Nährstoffen über den Darm sorgt dafür, dass wir gesund und leistungsfähig bleiben. Verdauungsprobleme lassen sich leichter bessern, wenn wir verstehen, wie Verdauung überhaupt funktioniert. Hier alles dazu, wie Verdauung funktioniert und mit welchen...
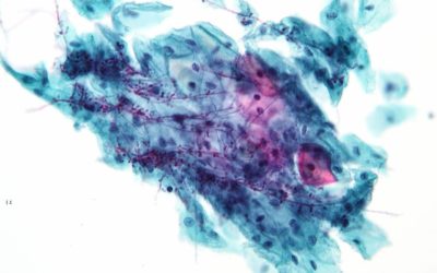
Candida albicans: Wissen zu Symptomen und mehr
Eine Mehrbelastung mit dem Hefepilz Candida im Darm zeigt sich vor allem durch Gedankennebel („brain fog“) und diverse Verdauungsbeschwerden.
Darmsanierung bei Candida im Darm
Der Darm ist die größte Oberfläche des Körpers, die uns mit der Außenwelt (!) verbindet und ist täglich starken Belastungen ausgesetzt. Hier erfährst du, wie du deinen Darm mit Nahrungsergänzung sanieren kannst und damit dein Immunsystem wieder aufbauen kannst. Wenn...



